登入
劉世明 獸醫師
跳到主文
提供小動物腫瘤內外科治療、腫瘤替代療法、整合性腫瘤治療計畫及臨床細胞學診斷
部落格全站分類:
醫療保健
相簿
部落格
留言
名片
10月
11
週三
2017
00:14
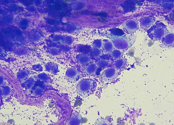
何謂細胞學診斷?
當我們在毛小孩身上摸到不明團塊時,光靠腫塊的外觀及觸感通常無法得知它究竟是什麼,它有可能只是發炎病灶、膿瘍或肉芽腫,也有可能是良性甚至是惡性的腫瘤。而我們在門診中遇到這樣的動物時,除了基本的問診及理學檢查外,接著就會建議施行細胞學採樣
(
細針採樣、壓片採樣等
)
,以採取團塊內的細胞進行初步診斷。
(繼續閱讀...)
文章標籤
microjok 發表在
痞客邦
留言
(0)
人氣(
505
)
1
文章分類
個人簡歷 (1)
個人簡歷 (1)
腫瘤療法簡介 (6)
電脈衝化療 (2)
高劑量維生素C療法 (2)
低劑量鐘擺治療簡介 (1)
標靶治療 (1)
化學治療簡介 (2)
常用化療藥物 (1)
臨床細胞學診斷 (1)
何謂細胞學診斷? (1)
腫瘤緩和醫療 (1)
腫瘤緩和醫療 (2)
腫瘤疾病介紹 (9)
淋巴瘤 (7)
肺部腫瘤 (1)
鼻部腫瘤 (1)
乳腺腫瘤 (3)
泌尿生殖系統腫瘤 (2)
皮膚腫瘤 (10)
其他 (4)
神經內分泌腫瘤 (1)
口腔腫瘤 (2)
未分類文章 (1)
個人頭像
暱稱:
microjok
分類:
醫療保健
好友:
累積中
地區:
最新迴響
[24/09/11] 訪客 於文章「貓耵聹腺囊腫...」
留言:
請問醫生這到底會不會造成健康上的影響,因為網路上的資訊不一,...
[22/04/12] 訪客 於文章「犬口腔黑色素瘤...」
留言:
原本在搜尋引擎找出一堆 Blog 文章,不知哪幾篇值得花時間...
[21/10/11] 訪客 於文章「犬口腔黑色素瘤...」
留言:
刘医师您好,想请你您一些关于口腔癌的问题...
[20/02/27] 訪客 於文章「犬淋巴瘤簡介...」
留言:
請問醫師犬淋巴腫瘤的化療成效高嗎?然後照料要如何做起?...
[19/04/08] 訪客 於文章「圍肛腺腫瘤...」
留言:
你好,我家狗狗15歲是金毛尋回犬,男的,已絕育,行走仍然沒有...
[19/02/17] 訪客 於文章「犬之軟組織肉瘤...」
留言:
劉醫生您好: 想請問家中瑪爾濟斯已確診左前腳膝關節有一顆神經...
[18/11/19] 訪客 於文章「犬膽管癌...」
留言:
免疫治療行得通嗎?...
[18/08/25] 訪客 於文章「癌症治療新觀點:電脈衝化療(electr...」
留言:
醫生: 因為我家狗狗得了鱗狀上皮細胞瘤,但部位在腳踝的地方,...
[18/07/23] 陳美芬 於文章「癌症治療新觀點:電脈衝化療(electr...」
留言:
劉醫師您好,我家中有隻貓被診斷有疫苗針相關性纖維肉瘤,已做過...
[17/11/29] 兩貓一狗的快樂小仙子 於文章「犬膀胱腫瘤...」
留言:
劉醫師目前好像在台中市"毛導動物醫院"服務, 臉書搜尋...
熱門文章
(9,863)
圍肛腺腫瘤
(9,789)
貓耵聹腺囊腫
(9,308)
犬膀胱腫瘤
(7,833)
貓皮膚型肥大細胞瘤
(4,825)
皮膚型漿細胞瘤
(4,734)
犬皮膚型肥大細胞瘤
(4,719)
皮膚型血管瘤
(4,234)
個人簡歷
(3,639)
貓消化道型高惡性度淋巴瘤
(2,958)
犬甲狀腺腫瘤
參觀人氣
本日人氣:
累積人氣: