PIXNET Logo登入

劉世明 獸醫師

跳到主文

提供小動物腫瘤內外科治療、腫瘤替代療法、整合性腫瘤治療計畫及臨床細胞學診斷

部落格全站分類:醫療保健

  • 相簿
  • 部落格
  • 留言
  • 名片
  • 5月 23 週六 202005:15
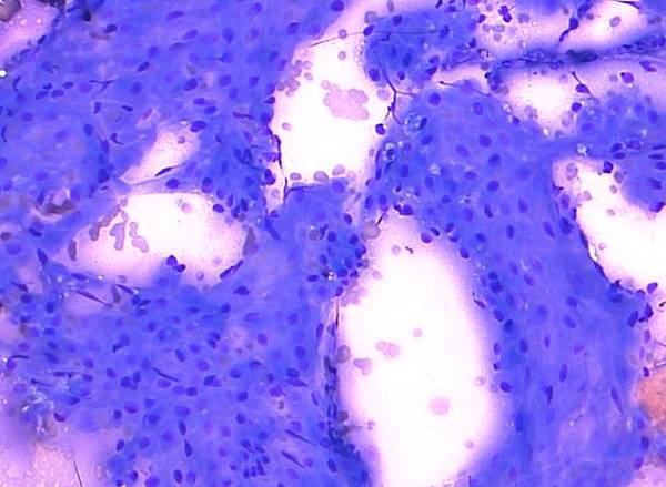
  • 犬高惡性度肥大細胞瘤(high-grade MCT)

mct2.JPG

什麼是「高惡性度」肥大細胞瘤?
        所謂高惡性度(high-grade)與低惡性度(low-grade)是一種肥大細胞瘤的病理分級方式,病理獸醫師會依據腫瘤細胞的有絲分裂指數、多核細胞數量、異型性細胞核及細胞核大小不一等特徵進行腫瘤分級。近年來也發展出利用細胞學檢查來評估高惡性度或低惡性度,在臨床上是一個快速簡單的方法。
(繼續閱讀...)
文章標籤

microjok 發表在 痞客邦 留言(0) 人氣(4,360)

  • 個人分類:皮膚腫瘤
▲top
  • 6月 29 週六 201902:00
  • 犬毛囊母細胞瘤

ppdddw.JPG

        毛囊母細胞瘤(trichoblastoma)舊稱為基底細胞瘤,為毛囊來源腫瘤中最常見的一種良性腫瘤,常發生於頭部。
(繼續閱讀...)
文章標籤

microjok 發表在 痞客邦 留言(0) 人氣(2,608)

  • 個人分類:皮膚腫瘤
▲top
  • 1月 14 週一 201913:19
  • 肥大細胞瘤的腫瘤伴隨症候群

仙草.JPG

        肥大細胞是生物體內重要的免疫細胞,它們多分布於皮膚、腸道及呼吸道等,其細胞質內具有許多顆粒,其中包含組織胺、肝素、前列腺素與蛋白質分解酵素等等,肥大細胞主要參與體內過敏及炎症反應,藉由這些免疫反應來保護身體。當肥大細胞不正常的癌化增生成肥大細胞瘤時,這些原本可以保護身體的機制反而引起腫瘤伴隨症候群,使病患產生輕微至致命性的臨床症狀。
(繼續閱讀...)
文章標籤

microjok 發表在 痞客邦 留言(0) 人氣(1,266)

  • 個人分類:皮膚腫瘤
▲top
  • 11月 20 週二 201801:17
  • 犬之軟組織肉瘤

sts1.JPG

        軟組織肉瘤是一群發生於結締組織之惡性腫瘤的總稱,它們擁有類似的臨床表現及組織病理特徵,其中成員包括:周邊神經鞘腫瘤、纖維肉瘤、血管周圍瘤、黏液肉瘤、脂肪肉瘤及惡性纖維性組織細胞瘤等,在狗所有皮膚及皮下腫瘤中約占15%,好發於中高齡之犬隻。
(繼續閱讀...)
文章標籤

microjok 發表在 痞客邦 留言(2) 人氣(8,847)

  • 個人分類:皮膚腫瘤
▲top
  • 11月 16 週五 201814:07
  • 犬皮膚組織細胞瘤

histiocytoma3.JPG

        皮膚組織細胞瘤(histiocytoma)為源自皮膚蘭格罕細胞(Langerhans cell)的良性腫瘤,多見於3~4歲齡以下的年輕犬,但偶爾也會發生於中老年犬隻。臨床上可見短時間內快速生長的小型皮膚團塊,突出皮膚表面呈圓頂狀,大小很少超過3公分,腫瘤表面容易破潰出血,好發於頭部及四肢遠端。
(繼續閱讀...)
文章標籤

microjok 發表在 痞客邦 留言(0) 人氣(4,616)

  • 個人分類:皮膚腫瘤
▲top
  • 10月 30 週一 201717:29
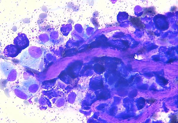
  • 圍肛腺腫瘤

圍肛腺瘤1.JPG

        圍肛腺腫瘤又稱為肝樣腺瘤,多發生於未絕育的老年公犬,其中約80-90%為良性腺瘤,好發品種包括:可卡犬、米格魯、鬥牛犬及薩摩耶等。
(繼續閱讀...)
文章標籤

microjok 發表在 痞客邦 留言(3) 人氣(9,863)

  • 個人分類:皮膚腫瘤
▲top
  • 10月 24 週二 201720:14
  • 貓皮膚型肥大細胞瘤

fmct1.JPG
 
      貓的皮膚型肥大細胞瘤好發於8到10歲齡的中老年貓,發生率是所有皮膚腫瘤中的第二位,僅次於毛髮母細胞瘤(舊名基底細胞瘤)。依據細胞的型態又可區分為:高分化型(70~85%)、低分化型(5~10%)及組織球型(10~20%),其中高分化型具有較佳的預後,而低分化型預後不佳。組織球型肥大細胞瘤則好發於小於四歲齡的年輕貓隻,常見皮膚多發性,但大多可自然消退。
(繼續閱讀...)
文章標籤

microjok 發表在 痞客邦 留言(0) 人氣(7,833)

  • 個人分類:皮膚腫瘤
▲top
  • 10月 17 週二 201722:12
  • 犬皮膚型肥大細胞瘤

mctcy.JPG

        肥大細胞瘤是犬皮膚最常見的腫瘤之一(約佔16~21%),平均發生年齡為9歲,好發品種包括:巴哥犬、拳師狗、牛頭梗、波士頓梗、拉不拉多、黃金獵犬、沙皮狗、雪納瑞及米格魯等。
        肥大細胞瘤的臨床表現依腫瘤的侵犯性及惡性程度有很大的差異性,有可能為長期緩慢生長的單一小團塊(低惡性度),也可能為快速生長且極具侵犯性的高惡性度腫瘤,因此,當犬隻皮膚上發現任何不明團塊都不應該輕忽,應盡快就診進行採樣檢查。
(繼續閱讀...)
文章標籤

microjok 發表在 痞客邦 留言(0) 人氣(4,734)

  • 個人分類:皮膚腫瘤
▲top
  • 10月 17 週二 201716:54
  • 皮膚型血管瘤

血管瘤.JPG

        血管瘤乃起源於血管內皮細胞的良性腫瘤,常見於皮膚及皮下組織,但也可能發生於肝臟、脾臟、腎臟、舌頭及心臟等。有研究指出,犬皮膚型血管瘤與紫外線的曝曬相關,因此於淺色皮膚的短毛犬隻可能有較高的發生率。
(繼續閱讀...)
文章標籤

microjok 發表在 痞客邦 留言(0) 人氣(4,719)

  • 個人分類:皮膚腫瘤
▲top
  • 10月 11 週三 201702:29
  • 皮膚型漿細胞瘤

plasma.JPG

        漿細胞瘤是老犬(10歲齡以上)常見的皮膚腫瘤之一,好發品種為梗犬、可卡犬及標準貴賓等,常發生於口唇部、指間及耳部,患部多呈結節狀隆起,表面毛髮稀疏或無毛髮。
(繼續閱讀...)
文章標籤

microjok 發表在 痞客邦 留言(0) 人氣(4,825)

  • 個人分類:皮膚腫瘤
▲top
1

文章分類

toggle 個人簡歷 (1)
  • 個人簡歷 (1)
toggle 腫瘤療法簡介 (6)
  • 電脈衝化療 (2)
  • 高劑量維生素C療法 (2)
  • 低劑量鐘擺治療簡介 (1)
  • 標靶治療 (1)
  • 化學治療簡介 (2)
  • 常用化療藥物 (1)
toggle 臨床細胞學診斷 (1)
  • 何謂細胞學診斷? (1)
toggle 腫瘤緩和醫療 (1)
  • 腫瘤緩和醫療 (2)
toggle 腫瘤疾病介紹 (9)
  • 淋巴瘤 (7)
  • 肺部腫瘤 (1)
  • 鼻部腫瘤 (1)
  • 乳腺腫瘤 (3)
  • 泌尿生殖系統腫瘤 (2)
  • 皮膚腫瘤 (10)
  • 其他 (4)
  • 神經內分泌腫瘤 (1)
  • 口腔腫瘤 (2)
  • 未分類文章 (1)

個人頭像

microjok
暱稱:
microjok
分類:
醫療保健
好友:
累積中
地區:

最新迴響

  • [24/09/11] 訪客 於文章「貓耵聹腺囊腫...」留言:
    請問醫生這到底會不會造成健康上的影響,因為網路上的資訊不一,...
  • [22/04/12] 訪客 於文章「犬口腔黑色素瘤...」留言:
    原本在搜尋引擎找出一堆 Blog 文章,不知哪幾篇值得花時間...
  • [21/10/11] 訪客 於文章「犬口腔黑色素瘤...」留言:
    刘医师您好,想请你您一些关于口腔癌的问题...
  • [20/02/27] 訪客 於文章「犬淋巴瘤簡介...」留言:
    請問醫師犬淋巴腫瘤的化療成效高嗎?然後照料要如何做起?...
  • [19/04/08] 訪客 於文章「圍肛腺腫瘤...」留言:
    你好,我家狗狗15歲是金毛尋回犬,男的,已絕育,行走仍然沒有...
  • [19/02/17] 訪客 於文章「犬之軟組織肉瘤...」留言:
    劉醫生您好: 想請問家中瑪爾濟斯已確診左前腳膝關節有一顆神經...
  • [18/11/19] 訪客 於文章「犬膽管癌...」留言:
    免疫治療行得通嗎?...
  • [18/08/25] 訪客 於文章「癌症治療新觀點:電脈衝化療(electr...」留言:
    醫生: 因為我家狗狗得了鱗狀上皮細胞瘤,但部位在腳踝的地方,...
  • [18/07/23] 陳美芬 於文章「癌症治療新觀點:電脈衝化療(electr...」留言:
    劉醫師您好,我家中有隻貓被診斷有疫苗針相關性纖維肉瘤,已做過...
  • [17/11/29] 兩貓一狗的快樂小仙子 於文章「犬膀胱腫瘤...」留言:
    劉醫師目前好像在台中市"毛導動物醫院"服務, 臉書搜尋...

熱門文章

  • (9,863)圍肛腺腫瘤
  • (9,789)貓耵聹腺囊腫
  • (9,308)犬膀胱腫瘤
  • (7,833)貓皮膚型肥大細胞瘤
  • (4,825)皮膚型漿細胞瘤
  • (4,734)犬皮膚型肥大細胞瘤
  • (4,719)皮膚型血管瘤
  • (4,234)個人簡歷
  • (3,639)貓消化道型高惡性度淋巴瘤
  • (2,958)犬甲狀腺腫瘤

參觀人氣

  • 本日人氣:
  • 累積人氣: